上海墨鉅特殊鋼有限公司
咨詢熱線:021-67898711 13472787990
公司傳真:021-67899883
郵箱:13472787990@163.com
GH4090是Ni-Cr-Co基沉淀硬化型的變形高溫合金,使用溫度高達920°C。合金在815°C?870°C具有較高的抗拉強度和抗蠕變能力、良好的抗氧化和耐腐蝕性能,在冷熱反復交替作用下有較高的疲勞強度。 合金具有良好的加工和焊接性能。適合制作航空渦輪發動機渦輪盤、葉片、高溫緊固件、卡箍、密封圈及彈性元件等。主要產品規格有熱軋棒材、冷拉棒材、冷軋板材、帶材和冷拉絲材。在航空領域,該合金制作了發動機高溫彈簧元件、高溫緊固件、燃燒室卡圈和止動銷等零部件。并且相近牌號在國外還用于制作航空發動機渦輪工作葉片、渦輪盤等零部件。GH4090合金在1040°C以下具有良好的抗氧化和耐腐蝕性能,但是在1040°C以上時易產生晶間氧化。
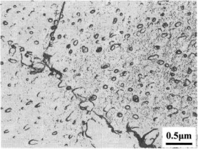
GH4090合金的組織結構上,墨鉅有做過實驗,相變溫度y相溶解溫度范圍980°C~1000°C;M23C6型碳化物溶解溫度范圍1100°C~1150°C。典型可見的組織可以參考一下結論,合金經標準熱處理后的組織主要由y基體、y'相、MC和M23C6型碳化物組成(圖5-1和圖5-2)。其中主要強化相是y'-Ni3(AI、Ti),呈方形顆粒,在晶內彌散析出,在晶界上也可見到這種形狀的y相。M23C6型碳化物在晶界上呈不連續的鏈狀析出!
圖5-1棒材經標準熱處理后的晶粒組織和一次碳化物分布,47mLH2SO4+ 41mLHNCO3 + 12mLH3PO4,電解腐蝕情況:
圖5-2棒材經標準熱處理后的組織和析出相形貌晶內y'相,晶界M23C6,47mLH2SO4+ 41mLHNCO3 + 12mLH3PO4,電解腐蝕情況:
上一篇:1.4876高溫合金
下一篇:GH6159合金的典型組織實驗分析
最新文章:
> 0Mo28Ni65Fe5:高鉬抗強還原酸的耐蝕鎳基合金2025-10-09
> 0Cr35Ni65Al:超高鉻鋁的超高溫抗氧化鎳基合金2025-10-09
> 0Cr23Ni60Fe14Al:鉻鋁協同的中溫抗氧化鎳基合金2025-10-09
> 0Cr22Ni60Mo9Nb4:高鎳高鉬固溶的復雜介質耐蝕鎳基合金2025-10-09
> 0Cr22Ni42Mo3Cu2Ti2AlNb:時效強化耐蝕的中高溫鎳基合金2025-10-09
> 015Cr21Ni26Mo5Cu2:鉻鉬銅協同的廣譜中等耐蝕鎳基合金2025-09-30
相關文章: